長尾歯科 | ひたちなか市の歯科

予防・メインテナンス
皆様の歯を極力保存するためには、何より患者さんの努力と協力が欠かせません

“痛くなった” “詰め物がとれた” “歯茎が腫れた”などが、日本における歯科医院にかかる主な理由だと思います。これらは通常、何らかの治療(Cure)が必要です。

当然、ある程度の期間、歯科に通院しなければ治りません。しかし、その都度“削ったり” “抜いたり”と、少しずつダメージを与えながら、患者さんのかけがえのない歯は徐々に失われ、ひいては口腔全体にも大きな影響を及ぼします。症状が出る前に“異常はないか”と歯科医院に来院していただけたなら、何らかの治療(Cure)が必要となるケースもあるかもしれませんが、おそらくその問題は最小限で、比較的短期間で大切な歯に大きな侵襲を加えなくてすむと思われます。

また、専門家による手入れ・維持管理(Care)が定期的に受けられるため、上記のような症状が出にくくなり、快適なライフスタイルを過ごせることでしょう。自動車でも定期検査や消耗品の交換などが行われているのに、自分自身のメインテナンスはいかがでしょうか?

※せっかく保険外診療をお受けになられたとしても、定期的なメインテナンスを怠ってしまえば、たちまち口腔内環境を崩していく可能性がございます。長尾歯科では患者さんごとの最適な健診内容や期間などをご提案し、定期的なメインテナンスをお勧めしております。患者さんのご都合により、これらにご協力いただけなかった場合には、保険外診療終了後の期間に関わらず、保証の対象外でございますのでご注意ください。
  • 歯科衛生士の役割

    ところで、歯医者さんで歯ブラシの指導を受けたのはいつ頃でしょうか?中には、歯ブラシの指導を一度も受けたことがないという方もおられます。
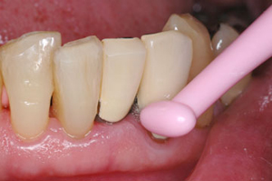
    定期的に来院される患者さんの口腔内を、手入れ・維持管理(Care)を行っているのが“歯科衛生士”です。白衣は着ておりますが“看護婦さん”や”歯科助手さん”ではありません。
    彼女たちは皆、国家資格を取得しており、患者さんの口腔内の健康維持のため、広い範囲でCure & Careを行うことができます。当院は3名の歯科衛生士が来院される患者さんの口腔衛生に務めております。諸悪の根源であるプラークをより丁寧に除去するためのブラッシング法や患者さんそれぞれにあった歯ブラシなどのご紹介も致しております。

  • 歯ブラシだけでは磨けないところは、歯間ブラシやデンタルフロスなどの補助清掃用具を使いましょう。

  • 予防・メインテナンスの内容

    1.定期的な口腔内診査
    2.口腔清掃指導
    3.生活習慣、食事などの指導
    4.フッ素塗布
    5.PMTC+フッ素  ・・・他

  • このような歯ブラシではしっかりしたプラークコントロールが行えません。
    それぞれ適した歯ブラシに替えましょう。

予防塡塞のフィッシャーシーラントについて
実はフィッシャーシーラントは非常に難しい処置です。高精度に行わなければ、予防どころか虫歯を惹起してしまうことも。 したがって当院では、ラバーダム防湿ができない・処置中にじっとしていられないなどのお子様には推奨しておりません。
  • 不適合のフィッシャーシーラントによって、虫歯になってしまった右下の6歳臼歯。

  • 予防塡塞なのに、なぜか歯が削られているうえ、フィッシャーシーラントも不適合でかけてしまっているため、虫歯になってしまった右下の6歳臼歯。

小児の虫歯予防にとって最も大切なことは、フィッシャーシーラントを安易に行うことではなく、保護者による日頃の丁寧な仕上げ磨きと、歯科医院への定期的な受診です。
  • 休診日/木・日曜日・祝日 ※予約制です
    最終受付時間 午前11:00 午後17:00
    ※医院敷地内含めすべて禁煙です

〒312-0032 ひたちなか市津田2598-1
>大きな地図で見る