
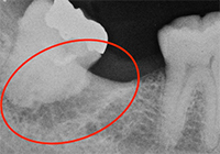
深い歯周ポケットが歯周病検査によって発見されました。

重度の歯周病です。こうなってしまうと歯の保存が難しくなります。
特に大臼歯部において、歯周病の進行に伴う歯槽骨の喪失により、根間部の歯周組織があたかもトンネル状になってしまった状態を”根分岐部病変”と言います。 その部位にはプラークが停滞しやすく、清掃が困難であるため、疲れた時や体調が優れないときなどに、腫れ・排膿・ブラッシング時の疼痛や出血などを繰り返すことがあります。
個々の解剖学的形態や、さまざまな誘発因子が考えられるために、歯周病治療の中でも最も厄介で、抜歯になることも少なくありません。
臨床的には、ファーケーションプローブを用いて、水平的な骨の喪失状態を診査することで、術式を選択していくのが最もポピュラーな方法です。
| 水平分類 | |
| I度 | 頬舌的に骨の1/3以下の欠損。 |
| II度 | 頬舌的に骨の1/3以上欠損しているが、完全には貫通していない。 |
| III度 | 頬舌的に完全に貫通している。 |

抜歯した下顎大臼歯です。2つに根が分かれています。

抜歯前にファーケーションプローブで分岐部病変を水平的に診査しているところです。残念ながらIII度でした。

抜歯後に改めてファーケーションプローブを通したところです。骨の喪失状況がわかると思います。
・口腔内写真、X線写真撮影
・歯周ポケットの深さ
・出血の有無
・動揺度の確認
※検査結果についてインフォームドコンセント
・プラークの染め出し&見える部分の歯石取り
※初期の歯周病はここで終了です。
・歯と歯茎の間の深いところに付着している歯石取り
※病状によってかかる回数は変わります
※軽度の歯周病はここで終了です。
※中等度以上の歯周病の場合は、歯周外科を行うこともあります。
※何らかの理由で歯周外科が行えない場合は、定期的に口腔内のチェックを行い現状維持をはかっていきます。

初診時

スケーリング直後




以前の歯周病と喫煙の関連性の解釈は、“タバコを吸っている人の中に重度の歯周病に罹患している人がいます”程度でしたが、現在は"喫煙は歯周病の原因です"に変わってきております。
当院におきましても、歯周病治療を成功させるために、禁煙指導をさせていただいております。全身や口腔内の健康を図るためにも、おタバコはやめましょう。
※当院は医院敷地内含めすべて禁煙の施設です
